Missouri executed 74-year-old convicted cop-killer Cecil Clayton on Tuesday night. But Clayton was not your ordinary inmate.
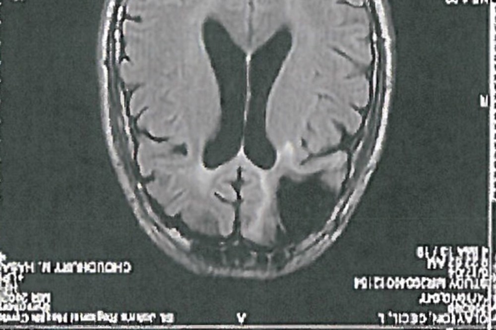
In 1972 — some 24 years before committing the crime for which he was sentenced to death — Clayton was injured in a sawmill accident in which a piece of wood pierced his skull. As a result, doctors removed one-fifth of Clayton’s frontal lobe, the part of the brain that controls decision-making, mood, and impulse-control. Thereafter, Clayton “broke up with his wife, began drinking alcohol and became impatient, unable to work and more prone to violent outbursts,” one of his brothers told The Atlantic. His IQ dropped, and in 1983, Clayton was diagnosed with chronic brain syndrome, a condition said to decrease mental function.
Then, in 1996, Clayton’s life changed forever — again — when he shot and killed a police officer. Before Barry County Sheriff’s Deputy Chris Castetter even got out of his vehicle at Clayton’s home — where the officer had gone to investigate a domestic dispute — Clayton fatally shot Castetter in the head, according to police. A Missouri jury found him guilty and sentenced Clayton to death.
RELATED: Missouri killer Cecil Clayton fights to halt execution
The landmark 2002 Supreme Court case Atkins v. Virginia famously held that executing mentally disabled individuals violates the Eighth Amendment’s ban on cruel and unusual punishment. And if it was up to Clayton’s defense team, the same principle — interpreted in Missouri to mean that an individual must be aware of his impending execution and understand why it is happening — would have protected their client from certain death.
But late Tuesday, that decision lay in the hands of the nation’s high court, which considered Clayton’s last-ditch appeal, but ultimately declined to stop the execution.
Clayton was pronounced dead by lethal injection at 9:21 p.m. local time.
Gov. Jay Nixon also denied Clayton clemency nearly three hours before the execution was originally scheduled to begin Tuesday night. “This crime was brutal and there exists no question of Clayton’s guilt,” he said in a statement.









